O nas
Metamorfozy - przed i po
Przywróć Pewność siebie
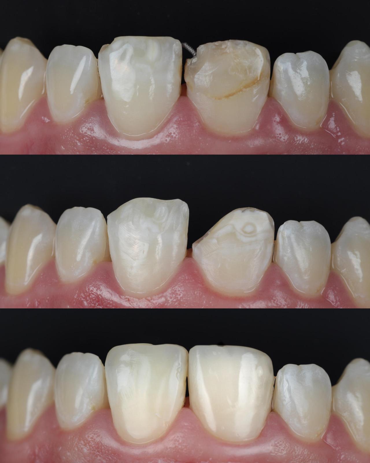
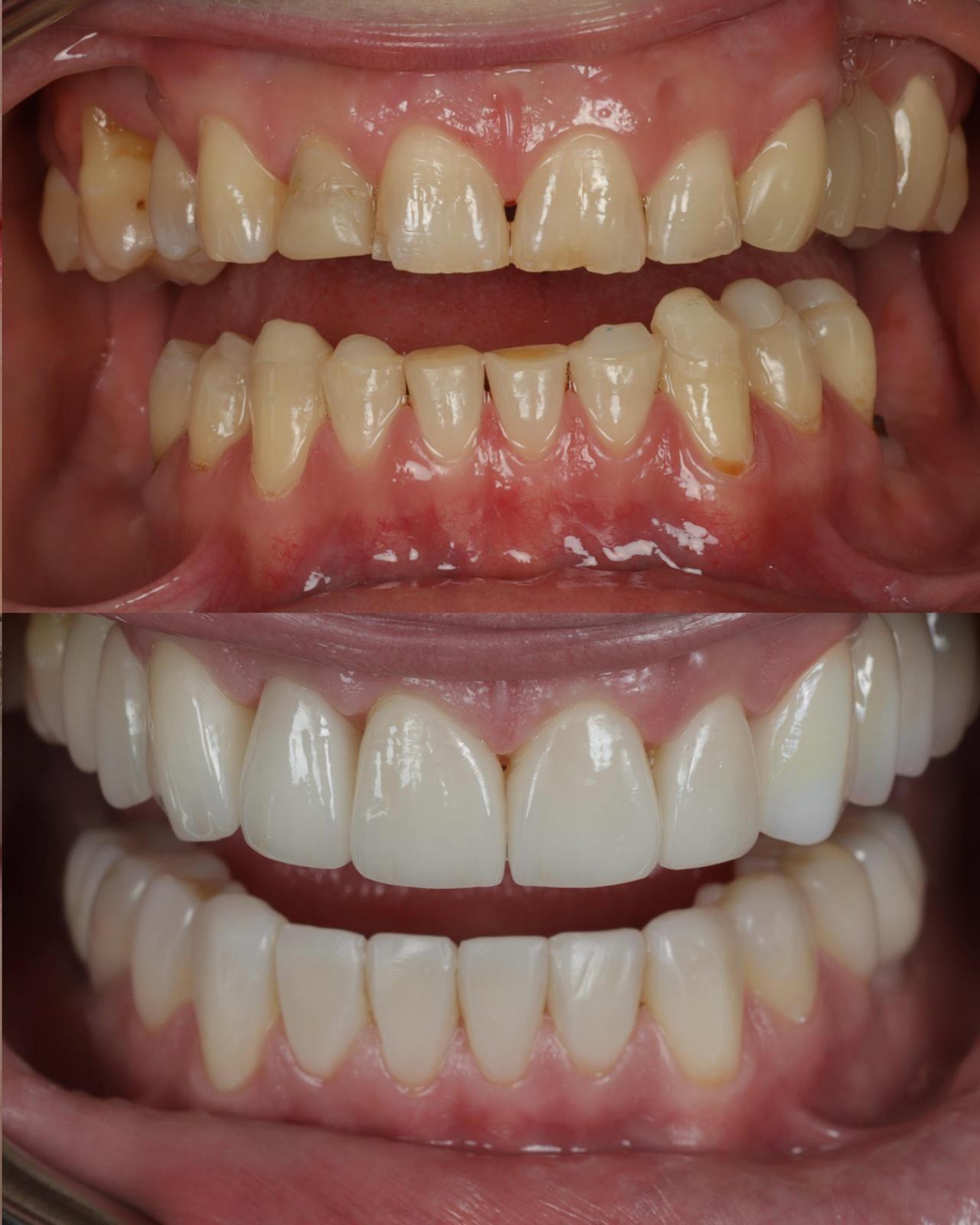
Zobacz metamorfozy naszych pacjentów
Wierzymy, że najlepszym dowodem naszej pracy są uśmiechy, które tworzymy każdego dnia. Przedstawione galerie to nie tylko zdjęcia PRZED i PO – to historie o odzyskanej pewności siebie, radości i komforcie życia. Jako eksperci, stawiamy na najwyższą jakość i precyzję, ale wiemy też, że liczy się Twój spokój. Dzięki naszym nowoczesnym technologiom i empatycznemu podejściu, zapomnisz o stresie. U nas zabiegi są praktycznie bezbolesne, a Twój komfort jest dla nas priorytetem.
Implanty zębowe
Bonding
Licówki
Od kliku lat korzystam z usług stomatologicznych w ChilliDent Poznań. Gabinet cechuje profesjonalizm i bardzo wysoka jakość świadczonych usług, Pan doktor Szymański prowadził mnie w zakresie protetyki, Pan doktor Grochocki z kolei w zakresie leczenia kanałowego, Pani Agnieszka w zakresie higienizacji, a administracja (niezastąpiony Pan Grzegorz) zawsze była pomocna, wszelkie terminy były ustalone i bez przesunięć zrealizowane. Jeżeli szukacie fachowej i skutecznej opieki stomatologicznej bez wahania polecam !!!
Adam Kuzma
Szkoda, że mogę tylko dać 5 gwiazdek. Od wejścia pacjent jest otoczony opieką przez troskliwych recepcjonistów, którzy potrafią wprawić w dobry nastrój najbardziej zestresowaną osobę. W gabinecie pacjenci spotykają niesamowicie miłych i profesjonalnych stomatologów, którzy leczą oraz dokładnie tłumaczą co będą robić. Tu trzeba zaznaczyć, że dla całego zespołu jest najważniejsze, by wizyta była jak najbardziej komfortowa dla pacjenta. Tu czuję się zaopiekowana.
Agnieszka Paszkiet
Chilli Dent to miejsce w samym centrum Poznania, w którym bezboleśnie, bez stresowo i bardzo profesjonalnie wyleczysz swoje zęby. Implantologia na najwyższym światowym poziomie. Pewna ręka, profesjonalizm, wyczucie i empatia to cechy wszystkich tam pracujących lekarzy. Szczególne podziękowania dla Pana dr Piotra Ramlau, dzięki któremu wzbogaciłem się bezboleśnie i bezstresowo w dwa nowe implanty. Dziękuję.
Jarosław Łucka
Bardzo sprawna i bezbolesna ekstrakcja ósemki! Dzięki znieczuleniu miejscowemu nic nie poczułam. Następne dni tuż po wyrwaniu, całkowicie do przeżycia, żadnych komplikacji! Jestem bardzo zadowolona i polecam z całego serducha! Cały zespół pracujący w ChilliDent jest otwarty, przyjazny i pomocny! Dzięki za super robotę! 💪🏻
Adrianna Górna
Gorąco polecam ChilliDent. Od samego wejścia można poczuć profesjonalną i przyjazną atmosferę. Miałam przyjemność skorzystać z zabiegu wybielania zębów, którego efekt przerósł moje najśmielsze oczekiwania. Moje zęby wyglądają teraz śnieżnobiało, a efekt jest niesamowity! Dodatkowo, zdecydowałam się na założenie korony. Cały proces przebiegł bardzo sprawnie, korona jest idealnie dopasowana, wygląda naturalnie – jestem bardzo zadowolona z opieki i profesjonalizmu, jaki oferuje ten gabinet. Gorąco polecam, trafiłam tu przypadkiem a na na pewno z przyjemnością będę tu wracać!
Dominika K
Zakończyłam właśnie leczenie kompleksowe ! 😁Wielka radość i wdzięczność , powrócił piękny uśmiech i pewność siebie . Dziękuję i z całego serducha ❤️polecam Chillident nie tylko za profesjonalizm , ale również niesamowicie przyjazną atmosferę . Jestem przekonana , iż w tej klinice wyleczą każdego Dentofoba . Jeszcze raz dziękuję i serdecznie pozdrawiam cały Zespół Chillident !
Magdalena Zybała